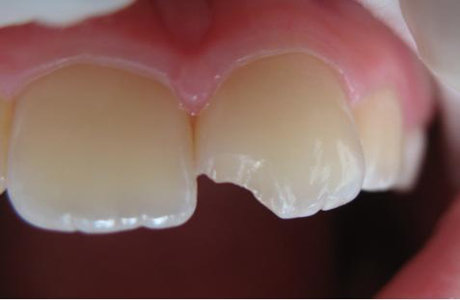
Почему крошатся зубы? Основная причина — недостаток кальция в нашем организме. При этом, незначительное воздействие на зубную эмаль приводит к такой реакции организма. Например, это может происходить при пережевывании твердой пищи или в результате других внешних воздействий (скрип зубами во время ночного сна и др.).
Что делать, если крошатся зубы? Употребление в пищу рыбы, творога и остальных кальцийсодержащих продуктов – вынужденная необходимость в таком случае.
Дополнительно кальций можно употреблять и в таблетках. Но лучше предварительно проконсультироваться с врачом. Ведь переизбыток кальция в организме может не менее плачевно отобразиться на вашем здоровье.
Усвоению кальция способствуют витамин D. Не забудьте употреблять его в достаточном количестве.
Обратиться к врачу-стоматологу необходимо в обязательном порядке.
Крепких зубов Вам!
Деева Оксана, стоматолог
